まりちゃん ママになる

ついに まりが母親になりました

いろいろ心配しましたし 悲しいこともありました

今も心配の種は尽きないのですが 子犬は既に生後22日で まりが我が家に来た頃の体重を超え 愉快な仕種を見せてくれます

妊娠から出産し仔犬が1ヶ月になるまでの記録です

6月11日

ヒート開始9日目 第二回スメア検査結果 鈍化細胞90% 核化細胞10%でかなり良い感じ 24時間以内に排卵の可能性 早速cho-koさんに交配のアポイントを取り同日夜お邪魔しました

まりが男の子を怖がって逃げ回るのが心配でしたがcho-koさんのリードで怖がらずに大人しくしています
男の子も優しく頑張ってくれようとするのですがナカナカ上手くいきません 2時間程経っても上手くいかなかった為 男の子も人前では何かと落ち着かないだろうと まりを一晩お預けする事にしました

しかし まりは一度も一人で他所にお泊りした事が無くcho-koさんに抱っこをせがむばかりで 結局お泊りも出来ませんでした
これまでの甘やかし過ぎを反省し ワンコの結婚にもお互いの相性が大切なのを実感しました

それでも尚 絶好の排卵タイミングを逃すのは残念と cho-koさんがご好意で知り合いの他のブリーダーさんを紹介して下さいました

      
お見合い 結婚
序章:

まりの出産については、未だ彼女が6ヶ月の頃 親戚達から『まりの赤ちゃんを頂戴』と言われたのをきっかけに 子供が出来たら一緒に遊んだりお留守番する相手が居て良いだろうと考えるようになり年頃になったら出産させる事に決めていました

お婿さん候補は2年前からインターネットでアチコチ探していたのですが距離的問題やお父さんの御眼鏡に適わない等の理由で難航していました
シーズンを目前にした2006年5月、以前からお母さんお気に入りのパピちゃん達が大勢居るGURDIAN LIONSさん に意を決して交配問い合わせのメールを出した所 大変丁寧なお返事を頂きました。

まりは色素が薄めなので色素の濃い男の子をお相手にする事、生まれた赤ちゃん達にパテラ体操をする事を条件として交配を快諾して下さったのです
健康な赤ちゃん誕生を第一に考慮された条件はこちらこそ願っても無いものでしたし、地理的にも我が家から比較的近く  お相手の男の子はまりの体格にもぴったりで、何より初めてお父さんのお眼鏡に適った子だったのです

結婚準備:

そしていよいよ彼女が3才になる前、2006年6月にシーズンを迎えました GURDIAN LIONSのcho-koさんから色々教えて頂き結婚当日に備えます

6月 3日

出血確認 これまでのヒートでは まりは2週間位出血が続いていましたが 今回のヒートではこれまでより出血が少なめです
ヒート開始から10日〜15日位で排卵がくるそうですが 今回は排卵日を逃さない為に 少し早めのスメア検査を受けることにしました

6月10日

ヒート開始8日目 第一回スメア検査結果 角化細胞50% 核化細胞90%で排卵が近いけどもう少し

6月12日

紹介していただいたGRACE PAPILLONさんで まりより若い男の子にお相手をお願いしたのですが やはり上手くいきません 排卵タイミングとしては今日を逃すと受精の可能性が段々低くなってしまいます 

そこでベテランのカール君登場
カール君のお相手で直ぐに結婚成功! カール君も優しい男の子で まりも怖がらずハッピーな結婚となりました
愛娘まりの結婚に立ち会ったお母さんは思わず涙がこぼれました

タイミングは獣医さんも太鼓判を押す程 排卵日ぴったり 二度掛けしなくても妊娠可能性大との判断で今シーズンは一回だけの交配で妊娠を期待します

カール君
カール君

ページのトップへ

元のページへ

      
どうかなぁ?

着床するまでは激しい運動は避けるようにとカールママさんからご指示 まりは元気余ってダッシュで駆け回る事度々なのでハラハラ
交配後約4週でエコーで妊娠確認が出来るそうです まりの場合シーズンの度に擬似妊娠で悪阻の症状をみせるので悪阻での判断は出来ません
交配2日後のお散歩で変わった事がありました まりの片思いの君ビーグルの虚勢澄み男の子が いつもはまりのシーズン中でも見向きもしないのに 熱心にまりの匂いを嗅いで挙句はマウンティングまで...
その男の子のママさんも『こんな事初めて』とおっしゃいます もしかしてワンにだけ分かる匂いで妊娠成功? 上手く妊娠してくれていると良いのですが...

交配11日後(ヒート開始20日後)散歩の時だるそうな様子で抱っこの要求が増え始め 交配15日後(ヒート開始24日後)から3日間朝胃液を戻しました
未だ食欲はあるものの、これまでの擬似妊娠が始まるタイミングより少し早く悪阻らしき症状が現れました

交配20日目の夕食からドライフードを残し食欲減退が始まりました 体重は前日まで食欲旺盛だったので普段より100g多い2.8kg

交配22日目朝からお腹がゴロゴロ鳴り軟便になってしまいました 妊娠の可能性を考えると投薬は出来ないので午前中絶食し夕食はお粥で様子を見ました

交配23日目どうやらお腹の調子は悪化せずに済んで安心 でもこの日から4日連続で朝胃液を戻し食欲が更に減退、体重も2.6kgに落ちてしまいました
いつも擬似妊娠の悪阻期間に突入すると手作りご飯や高カロリーおやつで凌げば1ヵ月半位で元に戻るし、散歩にも出たがらず 運動量も格段落ちるので 短期間栄養が足りなくても仕方ないと遣り過ごしますが、今回は妊娠可能性を考えるとそうはいきません

まりの大好きなササミ・ラム・牛肉やカボチャ等手を変え品を変えてご飯を作りますが思うように食べてくれません
これまでの擬似妊娠では食べてくれていた大好きなヨーグルトにも全く口をつけなくなってしまいました

ページのトップへ

元のページへ

      
妊娠確認
7月8日
交配後27日目

そろそろ良い頃かなとエコーで妊娠確認 しかし結果はスカ!
  獣医さんから未だ確定は出来ないので又来週検査と言われ帰宅しました かなり期待していたのでガックリでした

相変わらず食欲が無いのですが この頃から胃液を戻す事はなくなり、朝ご飯に半生タイプの○○Royalというフードなら食べられるようになりました
エコーで確認出来なかったので 今回は駄目だったかと8割方諦めつつも 僅かな望みは捨てきれず 妊娠している場合に備え 少しでも栄養を摂れるように夕食の手作りに励みます

本当ならドライフードが一番少量で栄養価の高い食事だと思うのですが 小さく砕いたり ふやかして缶詰や手作りフードに混ぜても 見事にドライだけ残されてしまいます
いつも擬似妊娠が始まると 普段は殆ど噛まずにペロッと食べてしまうドライフードを『こんなの硬すぎて食べられない〜 ちっとも美味しくないし』と悲しそうな目つきで訴えるのです 体重も2.6kgのまま増えません

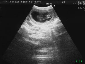
7月15日
交配後34日目

2度目のエコー検査を受ける為獣医さんへ

先ず体重を測り やはり2.6kgのまま。先生は普段より減っている体重を見て『う〜ん...減っちゃってるね』と渋い顔
一応エコーで見てみましょうとエコーを開始してくれ お父さんお母さんも一点のシミたりも逃すまいと真剣に画面を見つめます

2分位探しても何も映らず
『う〜ん...やっぱり無いねぇ。』
『......ん?あれ?あ〜?妊娠?(看護婦さんと顔を見合わせ) 妊娠してるね!こっちにもう1つ』

お母さんは思わずヤッター!と跳ね上がりました
エコーで2頭の胎児を確認 交配から1ヶ月余り、妊娠しているかどうか分からず気を揉んで過ごした日々の何と長く感じられた事でしょう

しかし先生からは妊娠したのに体重が減ってしまった事への懸念を指摘され 高栄養食のヒルズa/d缶を購入して帰宅しました
a/d缶は美味しそうな匂いがするのですが全く食べてくれません 白いご飯に混ぜてもお肉を混ぜても駄目
結局半生フードと高カロリーおやつ、牛肉のユッケと焼肉の組み合わせで何とか食欲増進を狙います

出産予定日は交配63日後の8月13日です それまで徐々にまりの食欲が上がって元気な赤ちゃんを産めるようにお母さんも頑張るぞ!

ページのトップへ

元のページへ

妊娠42日目       
食べてくれない妊婦さん
殆ど食べてくれなかった先週と比べると少しは食べてくれるようになり 体重も妊娠(交配)37日目で漸く悪阻開始当初の2.8kgに戻りました

未だ食欲は増進しないものの漸く一日の合計カロリーで200kcal近く食べてくれるようになり 体重は2.9kgに増えました

妊娠45日目

相変わらずドライフードは駄目ですが 食事量は少し戻り 漸く悪阻前の通常カロリー270kcal近く食べてくれるようになりました
それでもこの時期の妊婦さんにしては少なすぎます
食事の苦労とは別に 妊娠確認出来てから お散歩後の下半身の汚れが気になります 粘性のある液が分泌される為 下半身に土埃や草汚れがついてしまいます お散歩から戻ると丁寧に洗ってあげます

妊娠47日目

食事量が戻ってくれたお蔭で体重が3.1kgに増えました

妊娠50日目

折角体重が増えてくれたと思ったら 朝からお腹の調子が悪く 昼過ぎに胃液を戻し 夕方は軟便になってしまいました
ビオフェルミン3粒飲んで夜まで絶食です 夜に食欲が戻り半生フード50gと缶詰フード15gで計190kcalの遅めの夕食です

まりは元々お腹が弱く お腹を壊すと直ぐに血便が出てしまいます 投薬が出来ず絶食で様子を見るしかなく 胎児への影響も不安でしたが 何とか悪化せずに済みました

妊娠51日〜54日目

お腹の調子も戻り 食事量も少し増え一日の合計カロリーで漸く290kcal位食べてくれるようになりました それでも未だ本来の量には足りません
まりの体型は上から見ると少しふっくらしたかな?という程度で 他人から見た目には妊婦さんと気付かれません 乳腺の膨らみ以外お腹の膨らみは全く分かりません

何とか無事に出産し健康な赤ちゃん達が生まれるように水天宮さんへ安産祈願のお参りに行きました 普段から身に着けられる腹帯の小切れお守りを戴いて首輪に巻きつけました

      

妊娠55日目

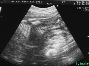
体重が100g増え3.2kgになりましたが まりの食欲の無さを心配してくれた獣医さんから電話を貰い 念の為エコーで胎児の様子を確認してみることにしました

今回も胎児2頭が映り 心臓の動き、血流も確認され 背骨や手足の様子も分かります 少ない栄養でもここまで育ってくれているんだと感激しましたが このままだと生まれる仔犬は80g位にしかならないだろうと言われ愕然としてしまいました
出産予定日まで後一週間余りですので何が何でも食べさせなければと気を取り直します 朝晩の体温は37.6度まりの平熱です

丁度週末なので出産に備えて必要な物を買い揃え ダンボールで産箱の準備をしました
交配前から色々教えて下さっていたGURDIAN LIONSのcho-koさんの所も丁度同じ頃出産予定の妊婦さん達がいるので その準備日記を参考にさせて頂きました

cho-koさんは大変面倒見の良い方でご自身のブリーディング経験は充分なので わざわざ日記にお産準備について詳細に記述して下さったのは 私達へのご指導を念頭に置いての事だったのでしょう 本当に感謝しております

そしてカールママさんも交配以来頻繁にお電話でまりの様子を伺って下さり 色々教えて下さっています 本当に良い方々に巡り会え幸せな事だと思っています

妊娠56日〜57日目

まりが自分で食べる量に任せたままだと栄養が足りないので 夜は足りない栄養を補う強硬手段をとることに決めました

高栄養のa/d缶とパピー用缶詰に粉ミルクを混ぜ まりの上顎に塗りつけて舐めさせる方法です 自分からはテコでも口を開けないので仰向けで膝に抱き お父さんがまりの口を開けさせた瞬間にお母さんが指でフードを上顎に この方法で1回約100kcal分、そして仕上げにニュートリスタットで栄養補給です

まるでフォアグラをとるガチョウに無理矢理えさを押し込んでいるようで 本人のまりも勿論可哀想ですが やっているお父さんお母さんも心が締め付けられるように辛い思いです

妊娠58日目

強硬手段のお蔭か体重が3.2kgになりました 予定日5日前となりレントゲンで胎児の頭数と大きさの確認をしました

エコーで確認した通り胎児は2頭で左右に1頭づつ頭を下にして入っています 頭の大きさも まりの子宮口を通れる大きさなので自宅で自然分娩する事にしました
お腹をそっと包み込むように触るとぐるぐると動いているのが感じ取れます 時には手でパンチ、足でキックしているようにトントンと小さな動きも分かるようになりました
右側に入っている子は左側の子よりクルクルとても良く動き回る子です
胎児の動きが感じられるようになると より一層まりと赤ちゃん達が愛おしくギュッと抱きしめてあげたくなります
ご飯が食べられなくて辛いけど後一週間足らずで予定日です 

悪阻に苦しみながら2ヶ月近く大切にしてきた赤ちゃん達なんだから あと少し頑張って元気に誕生させてあげようね 
まり!

妊娠59日〜61日目

妊娠59日目にあたる8月9日に まりは3歳の誕生日を迎えました これまで2度の誕生日は手作りのご馳走とケーキでお祝いでしたが 今年は食欲が無く何もしないお誕生日です

出産までのラストスパートに入ってもまりの食欲は出てくれません 強硬手段で夜食べさせても その分朝自分から食べてくれる量が減ってしまい 一日の合計カロリーは結局伸びません
獣医さんにも相談しましたが 余り強硬手段で食べさせても却って食べる事がトラウマになってしまい全く食べなくなってしまうといけないので 強硬手段は一日の最後に一回きりとしました

胎児の成長には少しでも多く栄養を摂って貰いたいところですが 母体への過剰なストレスを考えると無理は出来ず苦しいところです

妊娠62日目

朝から何も口にしてくれません 朝の体温は37.3度 午後1時の体温で37.1度 下がり始めたのでしょうか? お腹はペチャンコになってしまい ゴロゴロ・キューキュー鳴っています

午後になっても何も食べてくれません 予定日を明日に控え 出産間近なので食べないのでしょうか? 今日は無理をさせないように強行手段で食べさせるのは止めました
体温は37.0〜37.3度を行ったり来たりですが 低いままで推移しています やはり出産が近づいているのでしょう 夜になりお腹ゴロゴロの音は静まり 少量排便しました

出産に備え参考書・情報コピーを再度読み直します

ページのトップへ

元のページへ

      
出産

8月13日(日曜) 妊娠63日目 夜中0:40

体温が36.8度に下がりました

夜中2:00頃

パンティング(荒い呼吸)が始まり 頻繁にトイレへ通い排尿と排便を繰り返します

夜中3:50頃

苦しそうな声で喘ぎ 産箱に行ったりハウスに行ったりして穴掘り行動 これが明け方まで断続的に続きました

朝4:00頃

いよいよ出産が近そうなので 急に備えて車の運転が出来るよう2階で寝ていたお父さんを起こします

朝6:30

獣医さんに電話で様子を伝え パンティングと震えは続くものの未だ本格的な陣痛では無いようだとの判断でこのまま様子を見ることにしました

朝7:25

突然これまで聞いたことも無い苦しそうな声で『ウーン』とイキミ、陰部から4センチ径位の茶色がかった水風船状の物が顔を出しました まりがしきりに舐め破けて中の水が出てしまいました

しかし その後何も出て来ません まりはパンティングもおさまり少し落ち着いた状態でお母さんの膝元に横になってやすんでいます
獣医さんに電話を入れたのですが 留守電に転送され、仕方なくメッセージを残して切りました

まりはすっかり落ち着いた様子になり次の陣痛の気配がありません 気を揉みながらも少し様子を見て 獣医さんからの電話を待ちます

朝8:40

既に一時間以上経過したのに陣痛が無く 獣医さんからも電話が来ません 心配になりカールママさんに電話で相談して兎に角まりを病院へ連れて行くことにしました

朝9:00

病院着後 他に診察待ちの患者さんがいましたが 院長先生が直ぐに診察室に通してくれました

先生に経過を説明した所 即断で帝王切開の手術開始となりました お父さんお母さんは待合室でまりの無事を神様に祈る気持ちで待ちました

9:30頃

看護婦さんがタオルに包まれた小さな赤ちゃんを『今蘇生して自力呼吸出来るようになりました』と待合室に連れてきて見せてくれました 
手のひらより小さい赤ちゃんです

まりの様子を聞くと まりの様態は安定して『未だ麻酔が残っているのでボーっとしていますが大丈夫ですよ』と言われ安心しました
でも『もう1頭の子は余りにも小さすぎて蘇生は無理かもしれません 未だ頑張って続けていますが...』と言われたので お父さんもお母さんも神様にお祈りするより他ありませんでした

9:45頃

看護婦さんが再び小さなタオルを持って待合室へ出てきました

『漸く蘇生して自分で呼吸するようになりました』と言って見せてくれた子は 手足は勿論お腹も真っ赤で 漸く背中にうっすら毛がはえただけの未熟児です 
まるで生まれたばかりの鳥の雛のようです

それでもお父さんお母さんは この子が無事蘇生して呼吸するようになってくれた事を先生、スタッフの方々、そして神様に感謝しました 
まりも良く頑張ったね 

心配してくれていたブリーダーさん達、お友達の皆さんも有難う

10:00頃

まりも麻酔から醒め お父さんお母さんの入れる診察室で母子3人揃ってご対面です

赤ちゃん達は2頭とも男の子で 第一子が86g 第二子は78gの小ささです 看護婦さんによると未熟児の子の方も何とか母乳を吸ってくれたそうです
86gの子の方はチョコマカ動き回って 看護婦さんから『君は良く動く子だねぇ』と言われています

院長先生は まりの産後の経過について注意を説明をされた後、未熟児の子は決して楽観出来ないと仰り 母乳を吸えない時の為に胃カテーテルでの人工哺乳の仕方を教えて下さいました 必要な器材一式と予備のシリンジもご好意で分けて下さいました

10:50頃

母子共帰宅 自宅の秤で体重測定 長男君89g(病院での測定より3g増 車の中でもお乳が飲めたのね) 次男君78g(病院での測定と変化なし)

体重測定後すぐに又母乳を吸わせて再度体重測定 長男君91g(順調 ちゃんと飲む度に増えてる) 次男君78g(お乳が飲めてないんだ...)
お乳を探す時 長男君はヤタラメタラ動き回り過ぎて上手くお乳にありつけないのに 次男君は落ち着いてお乳を直ぐ探りあてるようです
次男君はお乳を飲むよりも寝ていたいようなのですが 出来るだけ頻繁にお乳に吸い付かせるようにしました

13:25

次男君の体重が81gに増えました やっとお乳が飲めたようです

まりは相変わらず食欲がありません 試しにミルクをあげてみると少し飲みました 赤ちゃん達を執拗にペロペロ舐めまくります 
余り舐め過ぎて赤ちゃん達がお乳を飲めない位です

しかし 赤ちゃん達を舐めまくる以外の時は産箱から出て お父さんお母さんに甘えて赤ちゃん達の傍から離れてしまいます

午後 心配したカールママさんがわざわざ家に様子を見に来てくれました やはり手馴れたもので未熟児の次男君にもお乳を吸い付かせるのが上手です

次男君の口を大きく開かせてお乳をグッとしっかり口に咥えさせ そのまま暫く手を離さずにお乳を吸うのを見届けるというやり方を教わりました
それに加えて まりは仔犬達のお腹側は舐めるのでpeeの処理は出来るのですが お尻を舐めないので排便を促す事が出来ません この方法もカールママさんに教えて貰いました

夕方カールママさんが帰られてから 教わった方法で頻繁に次男君をお乳に吸い付かせます 長男君はお乳を飲む度に順調に体重が増えるのですが 次男君はお乳に吸い付いていても体重が増えないか 頑張ってやっと1g増える状態が続きます

この日23:40の体重測定で 長男君は誕生時より11g増え97g 次男君も何とか6g増え84gになりました

まりは夜になって少し食欲が出てきたようで高栄養缶詰1/8に粉ミルクを加えたものを食べてくれました

次男君は未熟児で身体が弱そうな為 我が家に残す事は決定です 健康に育って太陽のように明るく楽しい毎日を送れるように願って『健太』と名付けました 姓名判断での運も吉相です
長男君は叔母の所かお母さんの弟夫婦の所へ里子に出す予定ですので 名前は里親さんに決めて貰います

ページのトップへ

元のページへ

仔犬生後一週間

8月14日(月)

長男君99g(+13g)
次男君86g(+8g)

心配した次男君も何とか自力で母乳を飲んでくれています 病院でカテーテルの方法も教わりましたが やはり胃を傷つけたりしないか 間違いをしやしないかと怖いので 母乳を飲んでくれると助かります

カールママさんからも母乳に勝る栄養は無しと言われていますし 次男君の母乳への吸い付き方には何か生命力のような物を感じます 少しづつしか飲めないにしても 頑張って母乳を飲み続けてくれる事を祈ります

まりの食欲は出産後も停滞したままです 午前中は何も口にせず 午後ヨーグルトにオリゴ糖を混ぜた物をティースプーン3杯程食べ 夕食には おかゆを大匙3杯程度食べました
このまま食べてくれないと栄養不足で低カルシウム血症等が心配になりますが お腹の調子も悪そうなので無理に食べさせずに少し様子を見ます

その間 仔犬達の排便の世話が出来るように 何度も仔犬のお尻をまりの顔に近づけ ペロペロするよう促し続けたら 夜になってやっとお尻を舐める事が出来るようになりました
仔犬が少し排便したのを舐めてやる事も出来たようです これで少し安心しました

しかし相変わらず赤ちゃんを舐めまくる時以外は産箱に寄り付かず 仔犬達に母乳をやらせる時は強制的に産箱に戻して動かないように押さえていなければなりません
仔犬達をやたら舐め回すのは大好きなので 母性本能が無い訳ではなさそうなのですが 仔犬達からすれば いつも一緒に居てくれるのがお母さんの筈なのに...

8月15日(火)

長男君112g(+13g)
次男君89g(+3g)

長男君は順調に増えて安心ですが 次男君は未だ油断出来ません
運良くまりの出産がお盆休みの時期に重なったので お父さんお母さんも仕事を休まず仔犬達の面倒を見る事が出来ます
気の向いた時にしか仔犬達に母乳をやりに行かないまりと油断出来ない未熟児の次男君の為に お父さんお母さんは3時間交替で仮眠を取りながら面倒をみています

まりは やはりお腹が調子悪そうで いつもお腹を壊した時にする肩を低くしてお尻を高く持ち上げるポーズを頻繁にしています
朝 オリゴ糖入りヨーグルトとビオフェルミンを食べさせ様子をみました 夕方お腹が空いたようで茹でたササミ1本を食べ 夜は高栄養缶1/4に粉ミルクを加えて食べさせました

8月16日(水)

長男君121g(+9g)
次男君94g(+5g)

次男君も少しづつですが頑張ってくれています
しかしまりのお腹の調子は芳しくなく 明け方と朝の排便ではかなりの軟便になってしまいました
それでも少し食欲が出てきたようです 朝から療養食缶を少しと昼にはパピー用ドライフードを30g程食べてくれました 夜は食欲が落ち パピー用ドライ少々と茹でササミ1本 足りない分をニュートリスタットで補いました

一昨日の夜まりが仔犬達の排便の世話を出来るようになったと思ったのですが どうもその後は排便の世話をしているのか定かでありません
念の為 深夜に長男君のお尻を刺激してみると大きな塊が出てきました 次男君の方も刺激してやると固まりになった便が少し出ました やはりまりが世話出来ていなかったようです 丸一日以上便秘だった模様です

8月17日(木)

長男君139g(+18g)
次男君97g(+3g)

長男君はこの調子なら一週間で体重倍増しそうです 次男君の体重増加率があがらないので心配です

まりの朝の排便では硬さが出てきたので どうやらお腹の調子は悪化せずに済んだようです 朝ごはんも妊娠以前に食べていた自然食のサプリメント掛けドライを少なめで完食 少量づつの食事を4回に分けて摂り 一日合計約330kcal食べてくれました

次男君の方も頑張ってお乳が飲めたようで夕方の体重は104gにまで増えました

8月18日(金)

長男君154g(+15)
次男君104g(+7g)

次男君もやっと100gを超えてくれました

まりのお腹が又朝からキューキュー鳴って調子悪そうです 食欲も無いので夕方まで絶食です
夕方ヨーグルトとササミを食べ 夜食を2度に分けてパピー用ドライと半生フードで栄養補給しました

8月19日(土)

長男君176g(+22g)
次男君112g(+8g)

長男君は誕生時の体重の倍を超えました 次男君は未だですが彼なりのペースで頑張ってくれています

まりの産後の出血が未だ続いています 実は帝王切開手術中に子宮内に膿が見つかり 細菌検査に出していたのです
その結果が出たので 病院へ行き 検出された少量のブドウ球菌の一種を退治する為 母乳に影響の出ない抗生物質を1週間分処方して貰いました

  まりは未だ食欲が無く 朝ヨーグルトを少し食べただけで 夜パピー用ドライを40g食べました

ページのトップへ

元のページへ

      
仔犬生後二週間

8月20日(日)
生後8日

長男君206g(+30g)
次男君116g(+4g)

誕生時の体重差はたった8gでしたが 生後一週間で体重差が倍近くひらいてしまいました  次男君も体重が減ること無く少しづつ増えているので頑張っているのですが 見た目には身体の大きさが3分の1位で 早く沢山お乳を飲めるようになって欲しいと焦りがつのります
午後まりの一番下の乳房が硬くなっているのに気付きバンソウコウを貼って暫く赤ちゃん達が触れないようにしました
まりの便は未だ軟らかいものの掴める硬さに戻ってきました 食欲も戻って一日合計約350kcal食べることが出来ました

8月21日(月)
生後9日

長男君222g(+16g)
次男君119g(+3g)

次男君の右目が出目金のように腫れているのに気付きました

以前からHPの育児日記を参考にさせて戴いていたcho-koさんの所の子が同じ病気に罹った事を思い出し 電話で相談させて戴きました
抵抗力の弱い未熟児に稀にみられ 細菌感染の為起こる新生児眼炎という 放っておくと失明してしまうという恐ろしい病気でした

抗生物質投与と目薬で治るそうですが 発症例が余り多くないので経験の少ない獣医さんでは対応出来ないかもしれないとのこと
我が家の掛かりつけの動物病院では院長先生なら対応して貰えると思い 電話で院長先生が診察日なのを確認して 次男君を連れて行きました
生後8日で未だ目も開いていない上 元々身体の小さい未熟児君なので 先生も『辛いなぁ』と思わず漏らされる難しい判断でした

瞼の合わせ目を切開して膿を出すか 腫れた瞼に注射針を刺して膿を吸い出すかのどちらかの選択で どちらも目を傷つける危険が高いものです
先生と2人で悩んだ末 少しでも危険度の低い 注射針での吸出しをお願いしました

院長先生は処置室に次男君を連れて行かれ 助手の先生と二人がかりで一番細い注射針で処置してくれたようです
膿を吸出してから一旦次男君を見せに戻ってくれました 処置が上手くいき次男君の右目の腫れは退き 可愛い顔に戻っています
この後又処置室に次男君を連れ戻り 膿を吸出した所から抗生剤を注射してくれました
免疫強化の為のラクトフェリンと抗生物質を一週間分と 注射針の穴から浸透させる目薬を処方して貰いました

診察の際に気掛かりだった仔犬達の便秘について相談すると 下痢なら心配だが便秘で死ぬ事はないのでそれ程気にすることは無いと言われました

家での点眼は注射で出来た針の穴からの浸透ですから 目薬一滴が目に入っていくには時間が掛かりますが
目薬を点している間 次男君はタオルに包まれてじっと顔を動かさずに良い子にしています
浸透圧の関係なのか 目薬を点し終わると 目頭から膿がジワジワ染み出てきます それを綺麗に拭き取って漸く次男君はお兄ちゃんの傍に戻れます

8月22日(火)
生後10日

長男君251g(+29g)
次男君120g(+1g)

次男君は病気のせいか 体力が落ちたせいで病気になったのか どちらか分かりませんが 母乳を吸う力が弱くなってしまいました
抗生物質は粉薬で 身体が小さい子の為 一回量は吹けば飛んでしまいそうな位です 朝の投薬は 薬を少し濡らした小指に付けて次男君の舌に擦り付ける方法をとりました

しかし次男君の唾液で上手く飲み込めているか定かでありません
一週間朝晩の2回薬を飲ませなければならないので 母乳を吸う力が弱った事を考え 薬と一緒に人工哺乳することにしました

誕生の時に病院で貰って来た胃カテーテルを試そうとしましたが 上手くいかず怖いのでシリンジを使います
1滴づつ誤嚥の無いようにゴクンと飲み込ませ 『頑張って早く元気になろうね』と未だ耳も聞こえない次男君に話しかけます

まりは体調がかなり戻ったようで これまで見たこと無い食欲になりました これだけ食べてくれれば安心です

8月23日(水)
生後11日

長男君280g(+29g)
次男君119g(-1g)

明け方 次男君が大量の排便 人工哺乳すると便が緩めになると聞いていましたが早速の効果です
大量の排便のせいもあってか 体重が初めて減ってしまいました 元々少ない体重なので大変気掛かりです
母乳だけで済んでいる長男君は未だ開通せず一週間便秘のままでも 順調に体重が増えています

日に何度も肛門を刺激するのですが出る気配がありません
次男君の病気を心配してカールママさんが家に来て下さいました 母乳に吸い付かせようとしても顔を背けて寝てしまう次男君に 母乳を吸わせるようにして下さり 便秘の長男君の肛門を根気良く刺激して排便させて下さいました お父さんお母さんが一週間頑張っても出来なかったのに流石です

カールママさんがいらっしゃる間に何度も次男君を母乳に吸いつかせて貰ったのですが 体重は増えません 夕方から4時間おきに約4ccづつ哺乳しました
ミルクはcho-koさんに教わった栄養価の高いクリニカルドッグミルクに初乳100を混ぜています

8月24日(木)
生後12日

長男君315g(+35g)
次男君126g(+7g)

哺乳した為次男君も体重が増えました でも哺乳後すぐに肛門刺激しなくても便が出るようになってしまい心配です
夜 次男君の右目が目頭から少し開き始めました 開いた隙間から眼球が動くのが見えます 眼に障害が残らない事を祈ります
左目は未だ閉じたままです 病気で膿を出したり目薬をしているので右目が早めに開いたのでしょう

長男君はまりが産箱に行く度にチュパチュパと勢い良くお乳を吸って元気です 次男君はまりのお乳よりも足や首の周りの毛に埋もれて寝ていたいようです

8月25日(金)
生後13日

長男君345g(+30g)
次男君139g(+13g)

次男君の一日の体重増が初めて2ケタになりました この調子で頑張って元気になってね
体重が増えてくれて もう少し哺乳量を増やしても大丈夫かと思い 一回の哺乳を5ccに増やしました

体重が増えて喜んでいたのも束の間 夕方次男君の左目下瞼が腫れているのに気付き 病院へ急行しました
今度も院長先生に診てもらったのですが 今回の腫れは中途半端で 先生も流石に針を刺すには危険が大き過ぎるとの判断です

月曜に出して貰った抗生剤も飲んでいることもあり 右目に使っているのと同じ点眼薬を点して様子を見ることにしました

8月26日(土)
生後14日

長男君378g(+33g)
次男君145g(+6g)

夜中にいつも通り次男君に5cc哺乳していた所 途中で口を背けとても嫌がった為2cc余りで中止しました

少し咽させてしまったので 気管に入ってしまったのかもしれません 可哀想な事をしてしまいました
それに加え 次男君の排便は哺乳の度に頻繁になり 夜には肛門から少し出血してしまいました

カールママさんに戴いていたブドウ糖液1ccをミルクに混ぜて哺乳しました
左目も目薬を垂らして染み出た膿を拭き取る処置をしているせいか 瞼の合わせ目がうっすら開き始めました

週末は金曜の夜からお父さんも交代で夜通し面倒を見てくれます お父さんも まりと良く似ている次男君が可愛くてたまりません

ページのトップへ

元のページへ

            
仔犬生後三週間

8月27日(日)
生後15日

長男君397g(+19g)
次男君152g(+7g)

まりの産後の出血は先週飲んだ抗生剤の効果か 週末で治まったようです
次男君の肛門からの出血も昨日夜一度だけで済んだので 様子を見ながら又少し哺乳量を増やし 一回に6ccにしました
長男君と次男君の体格は見た目3倍位の違いになってしまいました 長男君は標準体重だと思うのですが 次男君が余りに小さいので
並んでいると長男君が巨人のように見えてしまいます  長男君は時々 次男君の身体を枕にして寝ています
それでも次男君は文句も言わず 仲良く兄弟寄り添って寝ている事が多く 微笑ましいです

8月28日(月)
生後16日

長男君429g(+32g)
次男君161g(+9g)

次男君がやっと誕生時の体重の倍を超えました しかし人工哺乳以外 まりの母乳を吸い付かせても飲まなくなってしまいました

眼炎の抗生剤も一週間分飲み終わり 目薬も無くなってきたので病院で診察して貰いました
右目は開いてきた所からの点眼で効果が上がっていたし 左目の腫れも退いてきたので 投薬も目薬もなくて良いという診断です
気掛かりだった頻便と出血の事、母乳を吸わずに寝てしまう事、足が産まれた時からクロスして未だに直らない事を聞いてみました
便は人工哺乳の赤ちゃんの場合ある程度仕方なく 水様便の下痢にならなければ大丈夫とのこと
ずっと寝てばかりいるのは もしかしたら未熟児で産まれたので脳障害の恐れがあるかもしれないとのこと
脚は腿の付け根から弱い脚弱の可能性があることを教わりました
自然界では決して生き残れない弱い未熟児で産まれたので ある程度の障害は覚悟しなければなりません
まりの子として生まれて来てくれたので何があっても一生大切に育ててあげたいです
長男君の両目が開き始めました

8月29日(火)
生後17日
長男君446g(+17g)
次男君170g(+9g)

長男君はハイハイから少し歩けるようになりました 次男君はお尻がとても小さく足腰が弱いので未だ這いずって移動です
夜中 次男君がピーピー鳴き続け まりが舐めてやっても泣き止みません ミルクは定期的に哺乳してお腹も膨れています
排尿・排便もさせているし 産箱の中もペットヒーターで保温してあります 一緒に居る長男君はスヤスヤ寝ています
泣き止まない次男君に まりもどうして良いか分からずグルグル動きまわります お母さんにも原因が分かりません どこか苦しいの?

8月30日(水)
生後18日
長男君464g(+18g)
次男君177g(+7g)

夜中 長男君が足でカイカイ首の辺りを掻く仕種をしました ヨチヨチ2〜3歩 歩くことも 段々仔犬らしくなってきました
長男君の成長に比べ 次男君の身体的成長が遅いので焦ります 一回の哺乳量を7ccに増やしました
次男君もそれなりに上半身の動きが強くなり 哺乳の時に嫌々をして大きく顔を背けたりするので 7cc哺乳するのに1時間近く掛かってしまいます
まりが産箱に居る時もお乳に吸い付かずに寝てしまうので 哺乳は絶対必要です 嫌がって抵抗されると可哀想で胸が痛みます

8月31日(木)
生後19日

長男君495g(+31g)
次男君187g(+10g)

昼間 長男君を抱くとペロペロと顔を舐めてくれました

次男君は相変わらず哺乳を嫌がります やはり多少誤嚥させてしまっているようで 鼻が詰まり気味で鼻息がスパスパ聞こえています
それに手足を含め身体全体の血色も 長男君の綺麗なピンクがかった赤と比べると紫がかって心配です
シリンジ哺乳よりも胃カテーテルで哺乳する方が誤嚥の心配も無く 次男君の負担が軽いと思い カテーテルにチャレンジしましたが 管を通すにも激しい抵抗で出来ません
夜9時過ぎでしたが カテーテル哺乳の仕方をもう一度教わる為に病院へ行きました
夜間診療の為 院長先生は不在で 他の先生がカテーテルをしようとしても 次男君が激しく上体を動かし危なくて出来ません
先生もこんなに嫌がっては危険なのでシリンジ哺乳しか無理との判断です 気管や肺への誤嚥が心配だったので聴診器で音を聞いてもらいましたが 今の所大丈夫でした
今後 誤嚥をさせないように 仰向けでなく下を向かせた状態で哺乳してやるように指導を受けて帰宅しました

9月1日(金)
生後20日

長男君515g(+15g)
次男君200g(+13g)

次男君もやっと200gになりました 体重増ペースは遅いものの 2週間程して離乳食が始められる様になれば もっと元気になってくれるでしょう
長男君はこの2週間お乳を独り占めして順調に育っています 身体の大きさが4倍程違ってきました
午後 次男君の哺乳で残ったミルクをお皿に入れ 試しに長男君の口に近づけてみました お皿からミルクを舐める事が出来ました
昨夜から次男君に哺乳後 満腹になると左側のお腹に青黒く2センチ径くらいの臓器か内出血の様に見える所があり気になります

9月2日(土)
生後21日

長男君540g(+25g)
次男君209g(+9g)

先日来気になっていた次男君のお腹の青黒い部分に加え 下腹部に空気の入った膨らみのようなものが2箇所あるのに気付きました
内臓に異常を起こしていないか心配になり 病院へ行きました
院長先生に診てもらった所 左脇腹の青黒い部分は脾臓で 下腹部の空気の膨らみ2箇所はリンパと脂肪なので問題ないそうです
次男君は皮膚が大変薄いので内臓が透けて見えてしまうのだそうです
一安心したのですが 先生から右目の乾燥について指摘されました このままだと眼が駄目になってしまうとのことで潤滑剤の目薬と乾燥予防の軟膏を処方して貰いました
これには気付かずにいたので手遅れになる前に病院へ来て本当に良かったです
先生は次男君が頭を反らした状態になるのを心配され いつもこういう状態だとすると やはり脳障害の心配があると言われました
もしかしたら哺乳量が多すぎてお腹が苦しいので仰け反っているのかもしれないと指摘され 3時間毎に4ccの哺乳に減らすよう指示を受けました
一日合計32ccの哺乳があれば普通なら10gづつ位体重が増える筈とのことです
午後は指示通り4ccの哺乳に減らしたら 次男君もそれ程嫌がらずに済みました しかし体重は思うように増えてくれません
午後中に体重が2g減ったり戻ったりの繰り返しで夜8時には207gになってしまいました

ページのトップへ

元のページへ

      
永久の別れ

9月2日(土)
午後9時半頃

産箱でスヤスヤ寝ていた次男君がクゥーンと鳴きました お母さんは入浴中でお父さんが仔犬達の様子を見ているところでした
次男君がpooが出たので鳴いたようです 抱き上げてお尻を拭き取ってあげていると息をしていません

何が起こったのかお父さんにはわかりません 何で!? 何が!? 急いで背筋をさすりました
反応はありません 心臓と思われる辺りを刺激してみます 駄目だ!! 防災訓練で教わった人工呼吸を試みますが気道の確保が上手くいっていないので胃を膨らまします 顎を引いてもう一度 余り強いと肺に影響があるかも などと思いが掠めますがこんなちっちゃな子を相手にしたことは無いので加減できたかどうか

吹き込んで肋骨の境目辺りを刺激してみます 未だ駄目です 祈る気持ちとはこのことでしょう
暫くさすったり刺激したりを繰り返しましたが全く反応がありません まりはわかったのかどうか吠えています

5分だったのか10分だったのか この子がもう息を吹き返すことは無いと納得せざるを得ませんでした 

お母さんに風呂から上がるように話しましたが理由を問われてつい本当のことを伝えてしまいました
お母さんの嗚咽にまりも合わせるかのように吠え立てます

未だ身体の温もりがあるので急いで病院へ行けば蘇生が可能ではないかと 問われてもお父さんは無理だと答えるしかありません 既に少なくとも20分は経っているはずですから可能性は無いでしょう

紙箱を寝棺にして花を供えてやりました 随分と無理をしてここまで来たと思うと不憫です
病院を通じて教わった ペット葬儀社へ連絡して明朝荼毘に付すこととしました

時間が時間でしたので充分な花を買ってやれなかったのが残念です

首輪とクッキーを添えてやり最後の夜を過ごしました

9月3日(日)

朝まりと上の子を残し葬儀社へ向かいました 丁寧に対応してもらい心も少しは落着きました 話を聞いてもらえたのが心の負担を軽くしてくれたのだと思います

ちっちゃな身体でしたからお骨ももろく集めてもその量たるや本当にはかないものです
骨壷はそのまま自宅へ持ち帰り我が家で朝晩お線香を上げています

3週間頑張って生きて可愛い姿を見せてくれて有難う また縁があれば私達の元に来て下さいとお祈りをささげています

将来は家族皆で一緒のお墓に入りたいと思います

それにしても生まれる日もそうでしたがお別れする日も休みに掛かってお父さんが 何の支障もなく一緒に行動できたのはこの子達の配慮だったのでしょうか 

感謝しています

ページのトップへ

元のページへ

      

      

      
誕生から1ヶ月

9月3日(日)〜9日(土)生後22日〜28日(4週目)

長男君の体重推移 563g(+23g)→591g(+28g)→598g(+7g)→608g(+10g)→625g(+17g)→640g(+15g)→654g(+14g)

次男の健太が病気になって以来2週間 殆ど健太の面倒に掛かりきりで 長男君は自分で母乳をしっかり飲んで育ってくれました
長男君も86gという小ささで生まれ 何も面倒見てやらなかったのに元気に育ってくれて有難う

昨晩まで産箱の中で兄弟寄り添って寝ていたのに 一人ぽつんと寝ている姿を見ると悲しさがこみ上げます
その上 健太の命があっけなく逝ってしまったことで 寝息の静かな長男君も突然死んでしやしまいかと恐怖に近い心配にかれれます
問題なく成長しているので大丈夫な筈なのですが ちゃんと母乳が飲めているか心配がつのって まりが授乳をする度に体重を量りました
まりを産箱に戻して授乳させても体重が増えない時はミルクを哺乳しました シリンジ哺乳で長男君はグビグビ飲みます

長男君の体重をお乳を飲む毎に量って気付いたのですが 強制的にまりを産箱に戻して授乳させる時は いくら母乳を吸っていても体重が増えないのです
まりの行動を観察すると大体6時間毎位に自分から産箱に戻って授乳しています すると仔犬の体重はちゃんと増えています
どうやらまりのお乳が溜まるのが6時間おき位で お乳が張ると自分から飲ませに行くようです

長男君はここまで成長しているので日中はまりの自主的授乳に任せ 夜中に長男君がお腹を空かせるようなら哺乳することにしました

足腰も段々しっかりしてきて 生後26日目には小さな歯が見えてきました まりに噛みついて遊ぶようになり まりも嫌がらず相手をしています

長男君の名前が漸く決まりました 『康太』です 亡くなった弟の健太君の分も健康で楽しく過ごして欲しいです おばあちゃんが 名前を筆書きし送ってくれました

生後27日目 自分でpeeが出来るようになりました 翌日から離乳食開始 ミルクとパピースターターというお粥状のものを混ぜて舐めさせます
手にとって少しづつあげないと 顔中ベチャベチャにする程良く食べます

9月10日(日)〜16日(土)生後29日〜35日(5週目)

長男君の体重推移 669g(+15g)→672g(+3g)→672g(+/-0)→690g(+18g)→691g(+1g)→698g(+7g)→712g(+14g)

生後29日目に自力で排便出来る様になりました 離乳食も開始したので便秘症の心配もなくなるでしょう
目もかなり見えています ヤンチャ坊主で 産箱の入り口をカジカジしたり お父さんお母さんの指に噛み付きます

生後33日目には産箱の入り口18p位の高さを乗り越えられるようになりました 危ないのでサークルにベッドを入れた部屋にお引越しです
オモチャで遊ぶことも覚え 生後34日には初めて水を飲みました

離乳食に牛肉のミンチを加えて徐々に固形物に慣れさせます 最初は牛肉だけあげてみたのですが ミルク味が無いと食べませんでした

眼が覚めるとサークルから出てきてオモチャで遊ぶ時間が増えてきました
生まれた20日間位はオジサン顔で将来を按じたのですが すっかり可愛い子犬になりました 男の子のせいもあってか まりよりイタズラが激しく怖い物無しです

まりの交配から育児まで幸運な事に大変親切な方々と出会え何度も助けて戴き感謝しています

健太を亡くしたのはとても辛く悲しいことですが 皆さんのご協力と支えが無ければ たった78gの未熟児で生まれた子を3週間も育てる事は不可能だったでしょう
康太も僅か86gで産まれたのが信じられない位大きく育ってくれました 健太の分まで元気一杯 毎日楽しく遊んでいます

カールママさん cho-koさん O先生 そしていつも暖かく見守って下さるお友達の皆さん 本当に有難うございます これからも宜しくお願いします

この後の康太の様子は『康太のページ』をご覧下さい

ページのトップへ

元のページへ